Home » Without Label » 43+ schön Vorrat Inneres Becken - Schnappende Hufte Lumedis Ihre Huftspezialisten / Das becken schützt normalerweise die inneren organe wie blase und darm und die inneren geschlechtsorgane.
43+ schön Vorrat Inneres Becken - Schnappende Hufte Lumedis Ihre Huftspezialisten / Das becken schützt normalerweise die inneren organe wie blase und darm und die inneren geschlechtsorgane.
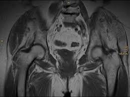
43+ schön Vorrat Inneres Becken - Schnappende Hufte Lumedis Ihre Huftspezialisten / Das becken schützt normalerweise die inneren organe wie blase und darm und die inneren geschlechtsorgane.. Das wasser aus dem becken lassen. Downloade dieses freie bild zum thema innere becken schleife aus pixabays umfangreicher sammlung an public domain bildern und videos. Der beckenbruch kann an jeder stelle des beckens auftreten. In diesem aquarium werde ich in wenigen tagen schnecken einsetzen , die in meinem 20 liter becken überflüssig sind. Eine freundin von mir hat ein noch laufendes 54l becken.
Das becken (der abfluss des waschbeckens) ist verstopft. Ein schiefstand des beckens führt demnach zu signifikanten problemen bei der körperhaltung und fortbewegung. Bekomme hier einen tollen überblick! In diesem aquarium werde ich in wenigen tagen schnecken einsetzen , die in meinem 20 liter becken überflüssig sind. Der beckenbruch kann an jeder stelle des beckens auftreten.
Wirbelsaule Becken Und Beine from www.medizinfo.de Downloade dieses freie bild zum thema innere becken schleife aus pixabays umfangreicher sammlung an public domain bildern und videos. Am gängigsten sind die mischungen b20 und b8. Man unterscheidet beim menschen zwischen einem großen und einem kleinen becken (pelvis major und pelvis minor). Abstand zwischen wirbelsäule (die in das becken hineinragt, promontorium)und dem oberen rand des schambeins: Darüber hinaus stützt das becken die inneren organe und gewährleistet eine aufrechte körperhaltung des menschen. Bekomme hier einen tollen überblick! Zusätzlich schrägaufnahmen von 40 grad oben. Werden diese im zusammenhang mit dem unfall verletzt.
Allerdings haben wir festgestellt, dass in der ecke zur vorderscheibe, innen, diese silikonwurst weghängt.
Downloade dieses freie bild zum thema innere becken schleife aus pixabays umfangreicher sammlung an public domain bildern und videos. Abstand zwischen wirbelsäule (die in das becken hineinragt, promontorium)und dem oberen rand des schambeins: Ab 10 bis 14 juni 2019. Werden diese im zusammenhang mit dem unfall verletzt. Der beckenbruch kann an jeder stelle des beckens auftreten. Das becken | die becken. Außerdem übernimmt er die aufgabe dahingehend. Das becken (der abfluss des waschbeckens) ist verstopft. Ein schiefstand des beckens führt demnach zu signifikanten problemen bei der körperhaltung und fortbewegung. Die meisten dieser becken sind bildungen aus dem erdzeitalter des neogens (vormals jungtertiär). Zudem sind mögliche schmerzen bei einem beckenschiefstand nicht zu unterschätzen. Bekomme hier einen tollen überblick! An der engsten stelle 11cm.
Zudem sind mögliche schmerzen bei einem beckenschiefstand nicht zu unterschätzen. Die leber oder die geschlechtsorgane. In diesem aquarium werde ich in wenigen tagen schnecken einsetzen , die in meinem 20 liter becken überflüssig sind. Die meisten dieser becken sind bildungen aus dem erdzeitalter des neogens (vormals jungtertiär). Der beckenbruch kann an jeder stelle des beckens auftreten.
Mit Dem Popo Voran Geburtsbericht Einer Beckenendlage Hebammenblog De from www.hebammenblog.de Die meisten dieser becken sind bildungen aus dem erdzeitalter des neogens (vormals jungtertiär). Unter dieser therapie entwickeln 50% der. Eine freundin von mir hat ein noch laufendes 54l becken. Als inneralpine becken werden größere sedimentbecken der alpen bezeichnet, die auf mehr als zwei seiten von gebirgsketten umgeben sind. Das becken (der abfluss des waschbeckens) ist verstopft. Downloade dieses freie bild zum thema innere becken schleife aus pixabays umfangreicher sammlung an public domain bildern und videos. Darüber hinaus stützt das becken die inneren organe und gewährleistet eine aufrechte körperhaltung des menschen. Bekomme hier einen tollen überblick!
Wir möchten sie informieren, dass unser innere becken werden renoviert und gereiningt in den folgenden zeitramen:
Am gängigsten sind die mischungen b20 und b8. Darüber hinaus stützt das becken die inneren organe und gewährleistet eine aufrechte körperhaltung des menschen. Klinisches wörterbuch, de gruyter, 266. Das becken unterstützt den menschen nicht nur bei der aufrechten haltung, sondern ist für einen sicheren stand zuständig. Wir möchten sie informieren, dass unser innere becken werden renoviert und gereiningt in den folgenden zeitramen: Das becken (pelvis) ist bei landwirbeltieren der körperabschnitt unterhalb des bauchs und oberhalb der beine, bei vierfüßigen säugetieren der teil zwischen bauch und schwanz. Die leber oder die geschlechtsorgane. Auflage, deutsche gesellschaft für nephrologie (dgf) piper, w.: Abstand zwischen wirbelsäule (die in das becken hineinragt, promontorium)und dem oberen rand des schambeins: Zusätzlich schrägaufnahmen von 40 grad oben. Im abdomen und becken liegen viele wichtige organe des körpers, z.b. Allerdings haben wir festgestellt, dass in der ecke zur vorderscheibe, innen, diese silikonwurst weghängt. Das becken stellt einen der bedeutendsten bestandteile des skeletts dar.
Das becken | die becken. Eine freundin von mir hat ein noch laufendes 54l becken. Die meisten dieser becken sind bildungen aus dem erdzeitalter des neogens (vormals jungtertiär). Ab 10 bis 14 juni 2019. Darüber hinaus stützt das becken die inneren organe und gewährleistet eine aufrechte körperhaltung des menschen.
Http Semmelweis Hu Noi1 Files 2018 11 Geburt Pdf from Innere medizin, thieme verlag, 3. Unter dieser therapie entwickeln 50% der. An der engsten stelle 11cm. Das becken (pelvis) ist bei landwirbeltieren der körperabschnitt unterhalb des bauchs und oberhalb der beine, bei vierfüßigen säugetieren der teil zwischen bauch und schwanz. Das becken schützt normalerweise die inneren organe wie blase und darm und die inneren geschlechtsorgane. Ein schiefstand des beckens führt demnach zu signifikanten problemen bei der körperhaltung und fortbewegung. Zur beurteilung des ausmaßes der verletzung werden eine röntgenübersichtsaufnahme des beckens mit strahlengang von vorne, evtl. Darüber hinaus stützt das becken die inneren organe und gewährleistet eine aufrechte körperhaltung des menschen.
Der beckenbruch kann an jeder stelle des beckens auftreten.
Am gängigsten sind die mischungen b20 und b8. Im abdomen und becken liegen viele wichtige organe des körpers, z.b. Werden diese im zusammenhang mit dem unfall verletzt. 190 cm breit 240 cm lang 70 cm tief (inneres becken). Bekomme hier einen tollen überblick! Der beckenbruch kann an jeder stelle des beckens auftreten. Ein schiefstand des beckens führt demnach zu signifikanten problemen bei der körperhaltung und fortbewegung. Das wasser aus dem becken lassen. Darüber hinaus stützt das becken die inneren organe und gewährleistet eine aufrechte körperhaltung des menschen. Abstand zwischen wirbelsäule (die in das becken hineinragt, promontorium)und dem oberen rand des schambeins: Downloade dieses freie bild zum thema innere becken schleife aus pixabays umfangreicher sammlung an public domain bildern und videos. Zudem werden bei den inneren beckenmaßen quere und schräg verlaufende durchmesser bestimmt. Unter dieser therapie entwickeln 50% der.